
fiche info sur les rayonnements ionisants
Ces examens sont réalisés avec un scanner.
Votre médecin vous a prescrit une infiltration :
Une infiltration consiste à injecter soit des corticoïdes soit de l'acide hyaluronique directement dans la zone responsable de
vos douleurs ; le repérage radiographique ou scannographique permet de faciliter ce geste et de le rendre plus précis.
Les zones d’injection :
- L’espace articulaire :
o L’espace articulaire est entouré par une gaine synoviale qui fabrique le liquide synovial.
- Les bourses séreuses :
o Ce sont des espaces fermés contenant du liquide synovial dont le but est de faciliter le «glissement» des organes (tendons, muscles) avec l’environnement et en particulier les os.
- Les gaines tendineuses :
o Leur rôle est de réduire la friction des tendons avec les structures environnantes et en particulier osseuses.
- Dans les espaces péri-radiculaires au niveau du rachis cervical et lombaire.
Les produits :
- Injections de cortisoniques :
o C’est la technique traditionnelle.
o Le but est de réduire rapidement et durablement les phénomènes inflammatoires articulaires en injectant un corticoïde directement soit dans l’articulation soit dans la bourse séreuse péri-articulaire soit dans la gaine tendineuse.
- Injections d’acide hyaluronique (visco-supplémentation) :
o Cette technique a été utilisée dans les années 1960 sur les animaux,
o Chez l’homme, la première articulation où cette technique a été pratiquée est le genou dans les années 1970.
o Le but est d’injecter un liquide épais intra-articulaire qui va recouvrir les cartilages d’encroutement et améliorer le « glissement » des surfaces articulaires entre elles.
o Toutes les articulations peuvent recevoir une injection soit de corticoïdes soit d’acide hyaluronique.
Apportez le jour de l'examen :
- La demande de votre médecin (ordonnance, lettre…).
- Les résultats des examens de laboratoire qui vous auraient été demandés.
- Le dossier radiologique en votre possession (clichés et comptes-rendus des radiographies, échographies, scanners, IRM).
- La liste écrite des médicaments que vous prenez.
Pour l'infiltration :
- A l'exception des médicaments que l'on vous aurait précisément demandé d'arrêter, vous prendrez normalement vos autres traitements.
- Venez de préférence accompagné(e).
- Il ne faut pas être à jeun.
- Pour être plus à l'aise, il est conseillé d'aller aux toilettes avant la ponction.
Déroulement de l’examen :
Suivant la zone à infiltrer l’examen sera pratiqué dans une salle de radiologie ou de scanner
Afin d’éviter tout risque infectieux, le médecin et ses collaborateurs porteront un masque.
Le médecin, après avoir mis des gants stériles, fera un nettoyage soigneux de la peau au niveau de la zone où il devra réaliser l’injection.
Si l’examen est réalisé en salle de radiologie, il surveillera la progression de l’aiguille sur un écran de télévision.
Si l’examen est réalisé dans le service du scanner, la progression de l’aiguille et son positionnement correct seront suivis par la réalisation de séries d’images.
Une fois que l’aiguille est en place, le médecin injectera l’anti-inflammatoire. Cette injection pourra être couplée à une injection d’un produit de contraste afin de s’assurer de la diffusion de l’anti-inflammatoire dans la zone responsable de vos douleurs.
Risques :
Le scanner et les tables de radiologie utilisent des rayons X. Aucun risque n’a été démontré chez les patients compte tenu des faibles doses utilisées et des précautions prises pour limiter au maximum la zone examinée.
Toute intervention sur le corps humain, même conduite dans des conditions de compétence et de sécurité maximales, comporte un très faible risque d’infection.
Effets secondaires et incidents :
- Les incidents les plus fréquents sont les malaises vagaux en cours ou au décours immédiat de l’infiltration. Ils sont sans gravité et rapidement résolutifs.
- Des recrudescences douloureuses peuvent survenir les premiers jours et sont contrôlées par des traitements médicamenteux sur quelques jours.
- Les injections rachidiennes (colonne vertébrale) peuvent entraîner des incidents plus importants. Afin de les éviter, les injections que nous réalisons sont pratiquées en péri-rachidien (autour de la colonne) et non en intra-rachidien (à l'intérieur de la colonne). Nous vérifions au décours de la procédure la diffusion du produit qui doit se répandre en péri-radiculaire (autour de la racine) et péridural (autour des gaines méningées) au travers du trou de conjugaison par où sort la racine nerveuse.
La ponction intra-thécale (à l’intérieur de l’espace méningé) est moins bien tolérée. Le risque d’effraction méningée par ponction péri-rachidienne est exceptionnel. Cette effraction n’est pas forcément identifiée lors de l’opacification et est source de syndrome «post ponction lombaire» (céphalées, nausées et vomissements en général). Cet incident reste mineur et est toujours résolutif.
Les complications graves telles qu’un accident vasculaire cérébral, une tétraplégie (étage
cervical), une paraplégie ou paraparésie (étage lombaire) ont été décrites. Ils sont exceptionnels et en rapport avec une oblitération artérielle. Le contrôle pendant toute la procédure du positionnement de l’aiguille par scanner permet d’éviter les structures vasculaires (artère vertébrale au niveau cervical) et de mettre l’extrémité de l’aiguille au contact du massif articulaire, à distance des vaisseaux.
- L’insuffisance surrénalienne est extrêmement rare.
Après votre retour à domicile :
Un repos est conseillé pour une meilleure efficacité de l'infiltration dont l'effet ne se manifestera qu'après quelques jours.
En cas de fièvre ou de douleurs importantes dans les jours suivants l'infiltration (possibles signes d'infection), il est important de contacter immédiatement votre médecin ou notre équipe.
En cas de problèmes contacter le CENTRE DE RADIOLOGIE DE FONTAINEBLEAU : 01.64.22.28.87.
En dehors des heures ouvrables contacter votre médecin ou le service des urgences.
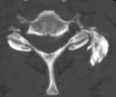
Infiltrations du rachis (colonne vertébrale) :
Infiltration du rachis cervical. On note le passage de l'anti-inflammatoire dans le trou de conjugaison ponctionné.
a b
Infiltration du rachis lombaire. Sous contrôle scannographique,le médecin positionne l'aiguille en regard du trou de conjugaison (image a) par lequel sort la racine nerveuse (nerf sciatique). Le contrôle après injection (image b) s'assure de la diffusion du produit.
Infiltration du premier trou sacré, aiguille en place.
- Vues : 16118